
沈阳东方医院在引进了最新型的无痛胃镜设备,“进口Olympus-CV290 无痛胃镜”,该设备镜身采用4.9毫米超细纤维软管,能悬空进入肠胃,不会刺激肠胃产生痛苦,配合三项无痛专利技术: PB(智能弯曲)、HFT(强力传导)以及可变硬度,大幅减少检查时间,安全无痛。
不太明白?可咨询在线医生,为您详细解答。一进口Olympus-CV290 无痛胃镜 VS 其他胃镜:
1、全程无痛,检查更轻松
采用静脉麻醉技术,浅睡10分钟即可完成检查,无痛、快速、无记忆。
2、先进技术,检查更安全
导管采用航天航空材质与仿生材质结合,材质韧度好,4.9毫米超细、柔软、灵活,不会刺激肠胃;配合三项专利技术,智能调节管径软硬度、及自动感应管径与胃肠道壁的间距并自动调节整体管径与为消化道壁的间距,能悬空进入,安全、无痛、不伤胃。
3、精准直观,检查更准确

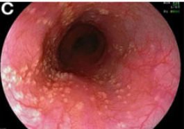
进口“Olympus-CV290无痛胃镜”拥有高清画面,高清晰度、高分辨率,同时增加NBI(窄带成像)、AFI(自体荧光成像)功能,NBI与AFI增设一键调节功能,集三光功能于一体,冷光源光亮度更充足, 图像更清晰。可细微观察直达毛细血管层的病变。
Olympus-CV290无痛胃镜 能看出哪些胃病?
二省东方胃肠病医院---做胃镜检查的最好选择:
胃镜检查要选经验丰富的医师来操作,不然即使做了胃镜,一般医生也看不出胃粘膜的细微病变,因而也会误诊,甚至因为经验不足而造成胃部二次损伤。
省东方胃肠医院聘请内镜科主任医师,如:曹毅(40余年临床经验)、王俊时(53年临床经验)亲自做胃镜,无误诊、无漏诊,检查更放心。
点击免费预约专家号位2、16年专业胃肠诊疗积淀
<沈阳东方医院>是专业的胃肠专科医院,同时也是国家非营利性医疗单位以及医保、新农合定点医院。先后被评为“辽宁百姓信赖医院”、“辽宁诚信医疗单位”“优秀达标医院”“优质诚信医院”。
16年胃肠诊疗积淀,将肠胃病细分50多个病种,每一个疾病都有一套专门的检查设备和治疗技术,汇集国内知名专家、设备先进齐全、医疗技术成熟可靠,治病更专业,效果更胜一筹。如果您还有其他的疑问,您可以点击【在线咨询】,也可以直接拨打全国健康咨询电话;[17640260582]

沈阳东方医院内镜科主任,主任医师,原沈阳市第六人民医院腔镜科室主任,现已从事临床工作40多年,临床经验丰富。
擅长诊治:无痛电子胃肠镜操作技术娴熟,精准诊断各类型胃肠疾病,精通内镜下病灶给药技术,擅长内镜下胃肠息肉切除术,对治疗胃食管反流病、胃炎、胃溃疡、十二指肠炎、胃酸烧心、胃窦炎、便秘、肠胃炎等有丰富的临床经验,尤其对胃肠息肉诊断与治疗有更深的造诣。。








